هل يشعر ابنك بالإحراج من ابتسامته بسبب تزاحم الأسنان؟ هل يجد صعوبة في تنظيف أسنانه لنفس السبب؟ تزاحم الأسنان أحد أكثر مشاكل التقويم انتشارًا في مصر والعالم العربي.
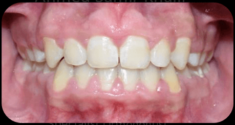
في هذا المقال، سأشارككم تجربة حقيقية من عيادتنا بروفيسورز لزراعة وتجميل الأسنان، حيث عالجنا حالة تزاحم شديد مع أنياب علوية بارزة بشكل غير طبيعي، وحققنا نتائج مذهلة خلال 27 شهرًا فقط.
ما هو تزاحم الأسنان؟
تزاحم الأسنان (Dental Crowding) هو حالة تحدث عندما لا يتوفر مساحة كافية في الفك لاستيعاب جميع الأسنان بشكل طبيعي ومنتظم. النتيجة؟ أسنان متداخلة ومائلة وغير منتظمة تؤثر على شكل الابتسامة ووظيفة الأسنان.
من خلال خبرتي التي تمتد لأكثر من 6 سنوات في تقويم الأسنان، أستطيع القول إن هذه المشكلة تتراوح بين البسيطة (تزاحم خفيف في سن أو سنين) إلى الشديدة (أسنان متراكبة بشكل كامل مع بروز الأنياب).
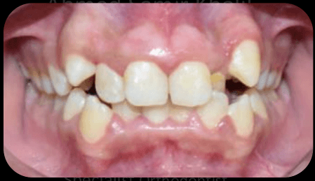
تجربة حقيقية: علاج تزاحم الأسنان مع الأنياب العالية
الحالة قبل العلاج

جاءنا شاب يعاني من مشكلتين رئيسيتين:
أولًا: بزوغ غير طبيعي للأنياب العلوية — حيث كانت الأنياب بارزة بشكل واضح خارج خط الأسنان، مما أثر بشدة على شكل ابتسامته.
ثانيًا: تزاحم واضح في الأسنان الأمامية — الأسنان متراكمة ومتداخلة، مما يجعل التنظيف صعبًا ويزيد من خطر التسوس ومشاكل اللثة.
خطة العلاج
بعد الفحص الدقيق والتصوير بالأشعة ثلاثية الأبعاد، وضعنا خطة علاجية شاملة باستخدام التقويم المعدني الثابت. اخترنا هذا النوع لأنه:
- يوفر تحكمًا دقيقًا في حركة الأسنان
- مثالي للحالات المعقدة مثل الأنياب العالية
- يحقق نتائج ممتازة ومستقرة على المدى الطويل
النتيجة بعد 27 شهرًا


الفرق واضح بشكل مذهل! الأنياب عادت لمكانها الطبيعي، والأسنان الأمامية أصبحت منتظمة ومتناسقة. الابتسامة تحولت من مصدر إحراج إلى مصدر ثقة.
هل تعاني من تزاحم الأسنان أو أنياب بارزة؟
احجز كشفك الآن مع د. أحمد سمير خليل واحصل على خطة علاج مخصصة لحالتك
أسباب تزاحم الأسنان
1- العوامل الوراثية
الجينات تلعب دورًا كبيرًا — إذا كان أحد الوالدين يعاني من صغر حجم الفك أو كبر حجم الأسنان، فاحتمال وراثة هذه الصفات مرتفع.
2- فقدان الأسنان اللبنية مبكرًا
عندما يفقد الطفل أسنانه اللبنية قبل موعدها الطبيعي (بسبب التسوس مثلًا)، تتحرك الأسنان المجاورة لملء الفراغ، مما يترك مساحة أقل للأسنان الدائمة.
3- عادات الطفولة السلبية
مص الإبهام واستخدام اللهاية لفترة طويلة ودفع اللسان للأسنان — كلها عادات تؤثر على نمو الفك وترتيب الأسنان.
4- ضروس العقل
في بعض الحالات، يسبب بزوغ ضروس العقل ضغطًا على الأسنان الأمامية، مما يساهم في حدوث التزاحم.
مخاطر تجاهل تزاحم الاسنان
قد يظن البعض أن تزاحم الأسنان مشكلة جمالية فقط، لكن الحقيقة مختلفة تمامًا:
صعوبة التنظيف: الأسنان المتزاحمة يصعب تنظيفها بالفرشاة والخيط، مما يزيد من تراكم البلاك والجير.
تسوس الأسنان: تراكم البكتيريا في المناطق التي لا تصلها الفرشاة يؤدي حتمًا إلى التسوس.
أمراض اللثة: التهاب اللثة ونزيفها من المضاعفات الشائعة للتزاحم غير المعالج.
مشاكل في الإطباق: عدم تطابق الأسنان العلوية والسفلية يؤثر على المضغ وقد يسبب آلامًا في مفصل الفك.
تآكل الأسنان: الضغط غير المتوازن على الأسنان يؤدي إلى تآكلها بشكل غير متساوٍ.
اقرأ أيضًا: إذا كنت تعاني من بروز الفك العلوي بالإضافة إلى تزاحم الأسنان، اطلع على مقالنا التفصيلي عن بروز الفك العلوي قبل وبعد التقويم لمعرفة كيف يمكن للتقويم تصحيح هذه المشكلة.
طرق علاج تزاحم الاسنان في عيادة بروفيسورز لزراعة وتجميل الأسنان
التقويم المعدني
الخيار الأكثر فعالية للحالات المتوسطة والشديدة. في عيادتنا، نستخدم أحدث أنواع البراكيت المعدنية عالية الجودة التي توفر راحة أكبر ونتائج أسرع.
التقويم الشفاف
مثالي لمن يريد علاجًا أقل وضوحًا. التقويم ثابت لكنه شفاف وأقل لفتًا للانتباه.
المثبتات بعد العلاج
بعد إزالة التقويم، نركب مثبتًا (Retainer) للحفاظ على النتائج.
لماذا تختار عيادتنا لعلاج تزاحم الاسنان؟
خبرة أكاديمية وعملية

أنا الدكتور أحمد سمير خليل، حاصل على ماجستير تقويم الأسنان من جامعة الإسكندرية، وباحث دكتوراه في نفس التخصص. أفتخر بكوني:
- زميل الاتحاد العالمي لأطباء التقويم (WFO) بالولايات المتحدة
- عضو الجمعية الأمريكية لتقويم الأسنان (AAO)
- عضو الجمعية الأوروبية لتقويم الأسنان
- حاصل على جائزة أفضل حالة سريرية من مؤتمر التقويم الدولي في ريو دي جانيرو بالبرازيل، من بين أكثر من 7,000 مشارك من أكثر من 100 دولة
- محاضر دولي في مؤتمرات التقويم في البرازيل وتونس ومصر
تقنيات متقدمة
نستخدم أحدث الأجهزة والتقنيات، بما فيها الأشعة ثلاثية الأبعاد والتخطيط الرقمي للعلاج، مما يضمن دقة التشخيص وكفاءة العلاج.
متابعة مستمرة
لا يتوقف اهتمامنا عند تركيب التقويم — نتابع معك في كل خطوة حتى تحصل على الابتسامة التي تستحقها.
🎯 عرض خاص على التقويم
تقسيط مريح: مقدم 25,000 والباقي على 12 شهر
الكشف شامل الأشعة الديجيتال + خطة العلاج + المتابعات
الأسئلة الشائعة عن تزاحم الاسنان
ما هي مدة علاج تزاحم الاسنان؟
تختلف المدة حسب شدة الحالة. الحالات البسيطة قد تحتاج 12-18 شهرًا، بينما الحالات المعقدة مثل الحالة التي عرضناها قد تحتاج 24-30 شهرًا.
هل يمكن علاج تزاحم الاسنان في سن الكبر؟
نعم! لا يوجد سن محدد للتقويم. نعالج بنجاح مرضى في العشرينات والثلاثينات وحتى الخمسينات.
هل التقويم يؤثر على الأكل؟
في البداية، قد تحتاج للتعود على بعض القيود (تجنب الأطعمة الصلبة جدًا أو اللزجة)، لكن سرعان ما ستتأقلم.
نصيحتي لك
إذا كنت تعاني من تزاحم الأسنان، لا تنتظر — كلما بدأت العلاج مبكرًا، كانت النتائج أفضل والمضاعفات أقل. احجز كشفك الآن في عيادة بروفيسورز لزراعة وتجميل الأسنان ودعنا نساعدك على الحصول على الابتسامة التي طالما حلمت بها.





