عندما يتعلق الأمر بضرس العقل المدفون، يثير هذا الموضوع الكثير من التساؤلات والاستفسارات. في هذا المقال، سنكشف النقاب عن معاناة ظهور ضرس العقل المدفون ونسلّط الضوء على أشكاله المختلفة والعلاجات المتاحة.
إذا كنت تبحث عن معلومات حول الأعراض الشائعة عند ظهور ضرس العقل المدفون أو ترغب في معرفة شكله وطرق علاجه سنقدم لك في هذه المقالة الإجابات والمعلومات الضرورية التي قد تحتاجها لفهم هذه الحالة والتعامل معها بشكل فعّال.
خلع ضرس العقل المدفون

خلع ضرس العقل المدفون يمكن أن يكون خيارًا عندما يسبب الضرس مشاكل أو يتسبب في آلام مستمرة وتورم متكرر. إليك ما يمكن أن يشمله عملية خلع ضرس العقل المدفون:
- التقييم الأولي: يقوم طبيب الأسنان بإجراء فحص شامل وتقييم لموقع الضرس المدفون وحالته، مما يسمح له بتحديد ما إذا كانت هناك حاجة لخلعه.
- التخدير: يُعطى المريض التخدير المحلي أو العام قبل العملية للحد من الألم والتسبب في راحة خلال الإجراء.
- العملية الجراحية: يتم إجراء العملية الجراحية لخلع الضرس المدفون باستخدام أدوات خاصة لفتح اللثة وإزالة الضرس من مكانه.
- مراقبة ما بعد العملية: بعد الخلع، يُمكن وضع ضمادة على المكان المخلوع، وتُعطى تعليمات حول الرعاية اللازمة للحفاظ على الشفاء الجيد.
من المهم الالتزام بتوجيهات طبيب الأسنان بعد الخلع، واتباع الإرشادات المقدمة للعناية بالمكان المخلوع لتجنب أي مضاعفات وتسهيل عملية الشفاء. يُنصح بالتحدث مع الطبيب لفهم الخطوات المحتملة وتحديد العملية المناسبة لحالتك الخاصة.
تكلفة عملية خلع ضرس العقل المدفون
في عام 2026، تتراوح تكلفة خلع ضرس العقل المدفون في مصر من 2500 الي 4500 جنيه مصري حسب عدة عوامل منها تقدير الطبيب لحالة الضرس المدفون ومدى صعوبة استخراجه.
لا تدع ألم ضرس العقل يسرق راحتك – احجز استشارتك الآن واستعد حياتك الطبيعية!
أعراض ظهور ضرس العقل المدفون
من واقع خبرتي في عيادة بروفيسورز لزراعة وتجميل الأسنان، هذه أبرز الأعراض التي يشكو منها المرضى:
1- الألم في الجزء الخلفي من الفم
يُعد من أكثر الأعراض شيوعًا، وغالبًا ما يمتد هذا الألم ليشمل الفك والأذن والرقبة. في بعض الحالات، يعاني المريض من صداع مزمن دون أن يدرك أن السبب هو ضرس العقل المدفون.
2- تورم اللثة واحمرارها
في المنطقة الخلفية من الفم علامة واضحة على محاولة الضرس الظهور. قد تلاحظ أيضًا نزيفًا بسيطًا عند تنظيف الأسنان في هذه المنطقة.
3- صعوبة فتح الفم بالكامل
أو الشعور بتيبس في الفك، خاصة عند الاستيقاظ من النوم أو بعد تناول الطعام.
4- رائحة الفم الكريهة
التي لا تختفي رغم تنظيف الأسنان، وذلك بسبب تراكم البكتيريا وبقايا الطعام حول الضرس المدفون جزئيًا.
5- طعم غير مستساغ في الفم
عند المضغ، وهذا يحدث نتيجة تجمع البكتيريا تحت اللثة.
6- تورم الغدد الليمفاوية في الرقبة
في الحالات المتقدمة التي يصاحبها التهاب.
إذا كان لديك أي من هذه الأعراض أو شكوك بشأن ضرس العقل المدفون، من المهم استشارة طبيب الأسنان للتقييم واتخاذ الإجراءات اللازمة للعلاج أو الرعاية المناسبة. يمكنك حجز موعد في أحد أفضل عيادات الأسنان في الشيخ زايد من خلال هذا الرابط.
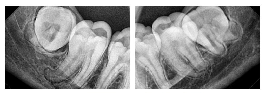
شكل ضرس العقل المدفون
ضرس العقل المدفون قد يظهر بأشكال مختلفة حسب وضعه وزاوية نموه في الفك. عمومًا، قد يكون لديك ضرس عقل مدفون إذا كان جزء كبير منه مختبئًا داخل اللثة أو العظم ولم يتمكن من الانبثاق بشكل صحيح في الفم. الصورة التالية هي رسمة توضيحية لشكل ضرس العقل المدفون جزئياً.

علاج ضرس العقل المدفون
علاج ضرس العقل المدفون يعتمد على حالة وموقع الضرس والمشاكل المحتملة التي قد تنتج عن وجوده. هناك عدة خيارات للعلاج، ومنها:
- مراقبة الحالة: في حالة عدم وجود أي أعراض مزعجة أو مشاكل متفاقمة، قد يقترح طبيب الأسنان مراقبة الضرس المدفون لمتابعة حالته والتأكد من عدم وجود تطورات مستقبلية.
- إزالة الضرس: إذا سبب ضرس العقل مشاكل مثل الألم المستمر، التورم المتكرر، أو التهابات متكررة، قد يتم اقتراح خيار إزالته جراحيًا كما سنوضح في باقي هذه المقالة.
- جراحة استئصال العظم: في بعض الحالات، يتم إزالة جزء من العظم المحيط بالضرس لتيسير عملية إزالته.
- العناية بالأعراض: قد يوصي طبيب الأسنان بتناول الأدوية لتخفيف الألم والتهيج أو المضمضة بمحلول ملحي للمساعدة في التئام اللثة.
ننصحك بقراءة: تعرف على شكل الخراج في الضرس وأعرضه وكيفية التعامل معه
علاج التهاب ضرس العقل المدفون
عند التهاب ضرس العقل المدفون، قد تحدث حالة تورم وألم شديدة. إليك بعض الخطوات التي يمكن اتباعها لعلاج التهاب ضرس العقل المدفون:
- استخدام المضادات الحيوية: قد يصف طبيب الأسنان المضادات الحيوية لعلاج العدوى أو التهابات اللثة المصاحبة لضرس العقل المدفون.
- استخدام الثلج: وضع كيس من الثلج أو شاشة باردة على الجانب المصاب من الوجه يمكن أن يخفف من التورم والألم.
- المضمضة بمحلول ملحي أو الماء الفاتر: المضمضة بمحلول ملحي أو الماء الفاتر يمكن أن تساعد في تهدئة اللثة المتهيجة والتخفيف من الالتهاب.
- تناول المسكنات البسيطة: مثل الإيبوبروفين أو الباراسيتامول يمكن أن تخفف الألم بشكل مؤقت.
الانتظار قد يكلفك أكثر – تواصل معنا اليوم قبل أن تتحول المشكلة البسيطة إلى علاج مكلف!
ضرس العقل المدفون والصداع
ضرس العقل المدفون قد يكون واحداً من العوامل التي يمكن أن تسبب الصداع. عندما ينمو ضرس العقل في مكان ضيق أو لا يجد مساحة كافية للانبثاق بشكل صحيح، يمكن أن يؤدي ذلك إلى بعض المشاكل التي تسبب الصداع.
- الضغط على الأسنان واللثة: قد يحدث ضغط على الأسنان واللثة القريبة من ضرس العقل المدفون، مما يتسبب في التهيج والألم الذي قد ينتج عنه صداع.
- الالتهابات اللثوية: قد يتسبب انبثاق ضرس العقل بشكل غير صحيح في التهابات لثوية متكررة، مما يمكن أن يؤدي إلى الصداع.
- التأثير على الهيكل العظمي: في بعض الحالات، قد يؤثر نمو ضرس العقل على الهيكل العظمي للفك أو الجمجمة، مما يمكن أن يسبب توترًا عضليًا ويؤدي إلى الصداع.
- الشد العضلي: تغيرات في الفك أو التوتر العضلي الناتج عن ضغط غير طبيعي قد يكون لها دور في الصداع.
ننصحك بمشاهدة: هذا هو شكل الضرس المسوس وكيفية تخفيف ألمه
كيفية التقليل من الم ضرس العقل السفلي المدفون
هناك بعض الطرق التي يمكن أن تساعد في تخفيف ألم ضرس العقل السفلي المدفون:
- استخدام المضادات الالتهابية غير الستيرويدية: مثل الإيبوبروفين أو الأسبرين، يمكن أن تساعد في تخفيف الألم والتورم المصاحب لانبثاق ضرس العقل.
- المضمضة بمحلول ملحي أو ماء دافئ: يمكن أن تساعد المضامض بمحلول ملحي أو ماء دافئ على تهدئة اللثة المتهيجة وتخفيف الألم.
- التدليك برفق: استخدام أطراف الأصابع لتدليك اللثة برفق في المنطقة الموجود بها الضرس المدفون يمكن أن يساعد في تخفيف الضغط والألم.
- التقليل من الأطعمة الصلبة والصعبة: تناول الطعام الناعم والبارد يمكن أن يساعد في تجنب الضغط على الضرس المدفون وبالتالي تقليل الألم.
- الراحة والاسترخاء: الحفاظ على الراحة والابتعاد عن العوامل التي تزيد من التوتر والضغط يمكن أن يسهم في تقليل الألم.
مع ذلك، إذا استمر الألم بشكل شديد أو مستمر، أو إذا كانت هناك علامات على وجود التهاب أو عدوى، من الأفضل استشارة طبيب الأسنان. قد يقترح الطبيب خيارات أخرى مثل وصف الأدوية الموصوفة أو العلاجات الأخرى للتخفيف من الألم والتسهيل على الشخص المتأثر بمشاكل ضرس العقل المدفون.





