هل أسنانك الأمامية لا تلتقي عند إغلاق فمك؟ هل تجد صعوبة في قضم الطعام أو نطق بعض الحروف؟
هذه هي العضة المفتوحة، ومن أكثر الأسئلة التي تصلني يومياً في العيادة: “هل لازم جراحة عشان أعالجها؟”
الإجابة في كثير من الحالات: لا. وسأريك حالة حقيقية من عيادتنا تثبت ذلك.
ما هي العضة المفتوحة؟
ببساطة، العضة المفتوحة تعني وجود فراغ بين أسنانك العلوية والسفلية عند إغلاق فمك. يعني لو حاولت تعض على تفاحة، أسنانك الأمامية مش هتقدر تقطعها لأنها مش بتلمس بعض.
هذه المشكلة لا تؤثر فقط على شكل الابتسامة، بل أيضاً على:
- القدرة على قضم الطعام بشكل طبيعي
- نطق بعض الحروف بوضوح (خاصة حرف السين والثاء)
- الثقة بالنفس عند الابتسام
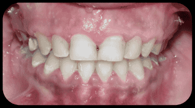
الحالة: فتاة 20 سنة تعاني من عضة مفتوحة

جاءتني هذه المريضة (20 سنة و4 أشهر) وشكواها الأساسية أن أسنانها الأمامية لا تلتقي نهائياً عند إغلاق فمها. كانت محبطة لأن أكثر من طبيب أخبرها أنها تحتاج جراحة في الفكين.
بعد الفحص الشامل والأشعة، وجدت:
- عضة أمامية مفتوحة واضحة (من النوع الهيكلي – High Angle)
- تصنيف Class II div 1 (يعني الفك العلوي متقدم عن السفلي)
- فراغ مكان ضرس مخلوع من سنوات (الضرس السادس السفلي)
- ضروس العقل موجودة لكن غير مستغلة
لماذا قررت علاجها بدون جراحة؟
بعد تحليل الأشعة والقياسات بدقة، وجدت أن الحالة رغم تعقيدها يمكن علاجها بالتقويم وحده باستخدام تقنيات متقدمة. السر كان في استخدام زريعات التقويم المؤقتة (Miniscrews أو TADs).
ما هي زريعات التقويم المؤقتة؟
هي مسامير صغيرة جداً (أصغر من حجم عود الكبريت) تُثبت في عظم الفك مؤقتاً خلال فترة العلاج. هذه الزريعات تعمل كنقطة ارتكاز ثابتة تساعدني على تحريك الأسنان بطرق كانت مستحيلة بالتقويم التقليدي وحده.
مميزاتها:
- تركيبها بسيط وغير مؤلم (بنج موضعي فقط)
- لا تحتاج جراحة
- تُزال بسهولة بعد انتهاء العلاج
- تفتح إمكانيات علاجية كانت تحتاج جراحة في السابق
خطة العلاج خطوة بخطوة

المرحلة الأولى: تركيب تقويم معدني ثابت على الفكين العلوي والسفلي
المرحلة الثانية: تركيب زريعات مؤقتة في سقف الحلق (منطقة آمنة بعيداً عن جذور الأسنان)
المرحلة الثالثة: “إدخال” الأضراس الخلفية العلوية لأعلى (تقنية تُسمى Intrusion). هذه الخطوة هي السر في إغلاق العضة المفتوحة بدون جراحة، لأنها تسمح للفك السفلي بالدوران لأعلى وللأمام، مما يُغلق الفراغ بين الأسنان الأمامية.
المرحلة الرابعة: إغلاق فراغ الضرس المخلوع بتحريك الأسنان الخلفية للأمام بدلاً من زراعة ضرس جديد.
المرحلة الخامسة: ترتيب ضروس العقل وتوجيهها لتأخذ مكاناً وظيفياً في الفم بدلاً من خلعها.
النتيجة بعد 31 شهر

بعد سنتين و7 أشهر من العلاج، هذه هي النتيجة:
ماذا حققنا؟
- ✅ إغلاق كامل للعضة المفتوحة – الأسنان الأمامية أصبحت تلتقي بشكل طبيعي
- ✅ بدون أي تدخل جراحي – فقط تقويم وزريعات مؤقتة
- ✅ إغلاق فراغ الضرس المفقود بالتقويم – وفّرنا على المريضة تكلفة وإجراء زراعة ضرسين
- ✅ ضروس العقل أصبحت فعّالة – بدلاً من خلعها، أصبحت تعمل بشكل طبيعي
- ✅ تحسن واضح في شكل الوجه والابتسامة
هل تعاني من عضة مفتوحة؟
احجز استشارتك مع د. أحمد سمير خليل لتقييم حالتك ومعرفة إذا كان العلاج بدون جراحة مناسباً لك
📞 احجز الآن: 01066345566متاحين من السبت للخميس | 11 ص – 11 م
ضمان الجودة: تقييم بمعايير البورد الأمريكي

لضمان أعلى مستوى من الجودة، قمت بتقييم النتيجة النهائية باستخدام معايير البورد الأمريكي لتقويم الأسنان (ABO). هذه المعايير تقيس دقة ترتيب الأسنان وتطابق العضة بشكل علمي ومحايد.
أسئلة شائعة عن علاج العضة المفتوحة
هل علاج العضة المفتوحة بالتقويم مؤلم؟
لا. قد تشعر بضغط خفيف في الأيام الأولى بعد تركيب التقويم أو بعد كل جلسة تعديل، لكنه يختفي خلال يومين أو ثلاثة. حتى تركيب الزريعات المؤقتة يتم ببنج موضعي بسيط ولا يسبب ألماً يُذكر.
كم يستغرق علاج العضة المفتوحة؟
يعتمد على شدة الحالة. الحالات البسيطة قد تحتاج 18-24 شهراً، بينما الحالات المعقدة مثل هذه الحالة قد تصل إلى 30-36 شهراً. الأهم من المدة هو الوصول لنتيجة صحيحة ومستقرة.
هل كل حالات العضة المفتوحة يمكن علاجها بدون جراحة؟
لا، ليست كل الحالات. بعض الحالات الشديدة جداً أو التي يكون فيها الخلل في عظام الفك كبيراً قد تحتاج تدخل جراحي. لكن مع تقنيات مثل زريعات التقويم المؤقتة، أصبح بإمكاننا علاج حالات كانت تُعتبر “جراحية” في السابق بالتقويم وحده. التشخيص الدقيق هو الذي يحدد.
هل يمكن أن ترجع العضة المفتوحة بعد العلاج؟
نعم، إذا لم تلتزم بارتداء المثبت (Retainer) بعد إزالة التقويم. المثبت ضروري جداً للحفاظ على النتيجة، خاصة في حالات العضة المفتوحة. كذلك يجب التخلص من أي عادات سيئة مثل دفع اللسان للأمام أو التنفس من الفم. اطلع على الفرق بين مثبت التقويم الشفاف والحديد لتختار الأنسب لك.
ما هو أفضل عمر لعلاج العضة المفتوحة؟
أفضل وقت هو في مرحلة المراهقة (12-16 سنة) لأن عظام الفك لا تزال تنمو. لكن هذا لا يعني أن البالغين لا يمكنهم العلاج. هذه الحالة كانت لفتاة عمرها 20 سنة وحققنا نتيجة ممتازة. حتى المرضى في الثلاثينيات والأربعينيات يمكن علاجهم بنجاح.
هل التقويم الشفاف يصلح لعلاج العضة المفتوحة؟
في بعض الحالات البسيطة، التقويم الشفاف يمكنه اصلاح العضة المفتوحة. لكن في الحالات المعقدة مثل هذه الحالة، التقويم المعدني يعطي نتائج أفضل لأنه يوفر تحكماً أكبر في حركة الأسنان، خاصة عند استخدام زريعات التقويم المؤقتة.
هل زريعات التقويم المؤقتة آمنة؟
نعم، آمنة تماماً. هي تقنية مُستخدمة عالمياً منذ أكثر من 20 سنة. الزريعات صغيرة جداً ومصنوعة من التيتانيوم (نفس مادة زراعات الأسنان). تُزال بسهولة بعد انتهاء العلاج ولا تترك أي أثر.
هل يتغير شكل الوجه بعد علاج العضة المفتوحة؟
نعم، في الغالب للأفضل. تصحيح العضة المفتوحة يُحسّن من تناسق الوجه ويجعل الابتسامة أكثر جمالاً. كما ترى في صور هذه الحالة، شكل الوجه والابتسامة تحسّن بشكل ملحوظ.
هل حالتك مشابهة؟
إذا كنت تعاني من عضة مفتوحة أو أي مشكلة في إطباق الأسنان، الخطوة الأولى هي الفحص والتشخيص الدقيق. ليست كل الحالات متشابهة، وخطة العلاج تختلف من شخص لآخر.
في بروفيسورز لزراعة وتجميل الأسنان، نستخدم أحدث التقنيات والأدوات لتشخيص وعلاج مشاكل التقويم المعقدة، مع التركيز على تحقيق أفضل نتيجة ممكنة بأقل تدخل.
📍 بروفيسورز دنتال كلينيك
متخصصون في تقويم الأسنان وعلاج مشاكل الإطباق المعقدة باستخدام أحدث التقنيات العالمية
📞 للحجز: 01066345566
🕐 المواعيد: السبت – الخميس | 11 صباحاً – 11 مساءً
💳 التقسيط: مقدم 30% والباقي أقساط شهرية على سنة

أخصائي تقويم الأسنان وعظام الوجه والفكين، حاصل على الماجستير من جامعة الإسكندرية وزميل الاتحاد العالمي لأطباء تقويم الأسنان (WFO). حائز على جائزة أفضل حالة سريرية عالمياً من المؤتمر الدولي لتقويم الأسنان بالبرازيل، ومتحدث دولي في مجال تقويم الأسنان المبني على الأدلة العلمية. متخصص في التقويم الشفاف وعلاج حالات سوء الإطباق المعقدة.



